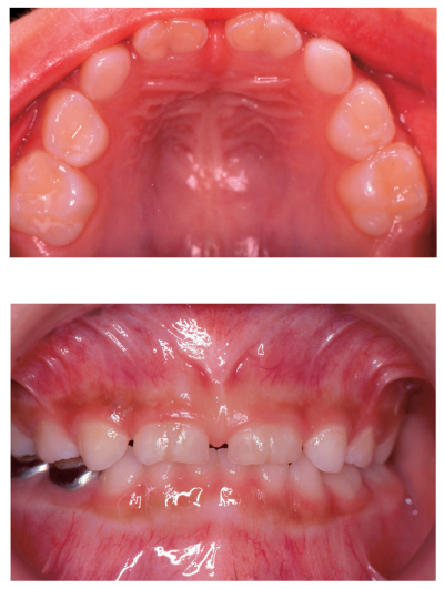
4歳の男児。上顎乳前歯の形を母親が気にして来院した。萌出時からこのような形であったという。咬合や口腔衛生状態に問題がないため、経過観察することとした。初診時の口腔内写真を別に示す。
今後、最も留意すべきなのはどれか。1つ選べ。
a. 過蓋咬合の出現
b. 付着歯肉の幅の変化
c. 上唇小帯の付着位置
d. 上顎乳犬歯の近心傾斜
e. 上顎側切歯の先天欠如
前のページへ
次のページへ