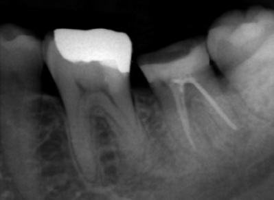
下顎左側第二大臼歯に対する根管充塡終了後のエックス線写真を別に示す。鋳造体を用いた支台築造を行う際、築造体の保持力を高めるのに有効なのはどれか。1つ選べ。
a. 軸面の形成を支台築造終了後に行う。
b. 分割支台築造の築造窩洞形成を行う。
c. エアータービンでポスト孔を形成する。
d. 築造窩洞内にアンダーカットを付与する。
e. ポスト孔先端を歯槽骨頂より浅い位置とする。
前のページへ
次のページへ