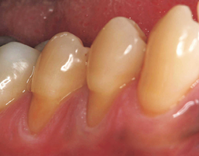
40歳の男性。下顎右側小臼歯部の冷水痛を主訴として来院した。初診時の口腔内写真を別に示す。
考えられる原因はどれか。2つ選べ。
a. 摩耗
b. 歯頸部齲蝕
c. ブラキシズム
d. 歯の外部吸収
e. エナメル質形成不全
前のページへ
次のページへ