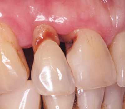
75歳の男性。上顎右側中切歯と側切歯の審美不良を主訴として来院した。6か月前から気付いていたが強い痛みがないのでそのままにしていたという。エアーで一過性の痛を認めるが、他に症状はない。検査の結果、修復処置を行うこととした。初診時の口腔内写真を別に示す。
適切な修復材料はどれか。2つ選べ。
a. コンポジットレジン
b. リン酸亜鉛セメント
c. グラスアイオノマーセメント
d. 酸化亜鉛ユージノールセメント
e. タンニン・フッ化物合剤配合ポリカルボキシレートセメント
前のページへ
次のページへ