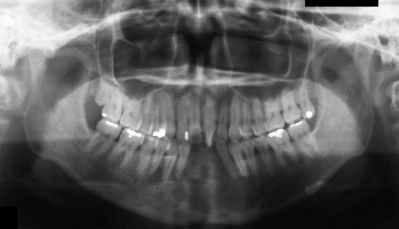
37歳の女性。下顎前歯部の無痛性の腫脹を主訴として来院した。1か月前にかかりつけ歯科医で下顎前歯を抜去されたが、改善しないという。初診時のエックス線写真、CT及び生検時のH-E染色病理組織像を示す。
診断名はどれか。1つ選べ。
a. 歯原性粘液腫
b. エナメル上皮腫
c. 腺腫様歯原性腫瘍
d. 角化囊胞性歯原性腫瘍
e. 石灰化囊胞性歯原性腫瘍
前のページへ
次のページへ