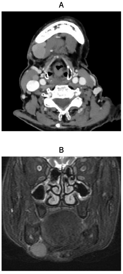
86歳の女性。顎下部の無痛性の腫脹を主訴として来院した。1か月前から自覚し、徐々に増大してきたという。初診時の造影CT、MRI脂肪抑制T2強調像及び生検時のH-E染色病理組織像を別に示す。
診断名はどれか。1つ選べ。
a. 血管腫
b. 脂肪腫
c. 神経鞘腫
d. 多形腺腫
e. 悪性リンパ腫
前のページへ
次のページへ