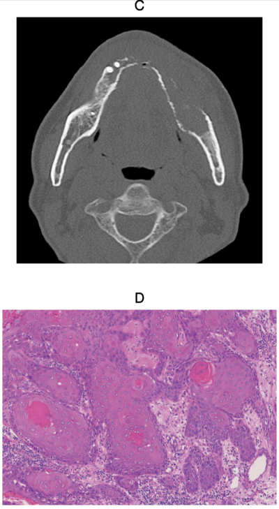
75歳の男性。下顎左側歯肉の異常を主訴として来院した。1か月前から左側下唇に軽度の知覚鈍麻を自覚するようになったという。既往歴として骨粗鬆症、糖尿病および高血圧症がある。初診時の口腔内写真、エックス線写真、CT及び生検時のH-E染色病理組織像を示す。
診断はどれか。1つ選べ。
a. 扁平上皮癌
b. エナメル上皮腫
c. 薬剤関連顎骨壊死
d. 慢性化膿性顎骨骨髄炎
e. びまん性硬化性顎骨骨髄炎
前のページへ
次のページへ