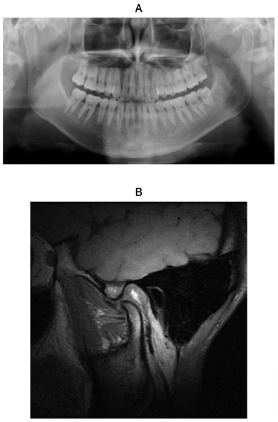
23歳の男性。開口障害を主訴として来院した。1年前から開閉口時に左側顎関節に雑音があり、2日前から急に口が開かなくなったという。右側顎関節に異常は認められない。初診時のエックス線写真と開口時の左側顎関節のMRIを示す。
開口障害の原因はどれか。1つ選べ。
a. 顎関節の脱臼
b. 関節突起の骨折
c. 筋突起の過成長
d. 関節円板の前方転位
e. 下顎頭と側頭骨の骨性癒着
前のページへ
次のページへ