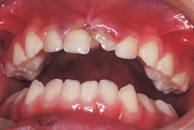
4歳の男児。歯の陥入を主訴として来院した。2時間前に階段から転落し顔面を強打したという。歯冠の破折は認められない。初診時の口腔内写真を示す。
後継永久歯に起こり得るのはどれか。2つ選べ。
a. 歯内歯
b. 歯根彎曲
c. タウロドント
d. Hutchinson歯
e. エナメル質白斑
前のページへ
次のページへ