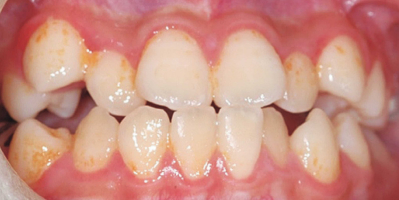
13歳の男子。歯面の着色を主訴として来院した。約1か月前から気になり始め、 着色の範囲に大きな変化はないという。初診時の口腔内写真を示す。
原因として考えられるのはどれか。1つ選べ。
a. 緑茶
b. 口腔細菌
c. フッ化物
d. テトラサイクリン
e. エナメル質形成不全
前のページへ
次のページへ