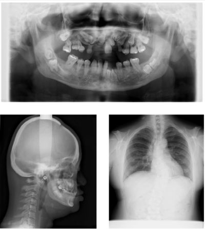
36歳の男性。咀嚼困難を主訴として来院した。幼少時から遺伝疾患を指摘されているという。低身長と歯列不正が認められる。初診時のエックス線写真を示す。
考えられるのはどれか。1つ選べ。
a. 大理石骨病
b. Marfan症候群
c. Gardner症候群
d. 基底細胞母斑症候群
e. 鎖骨頭蓋骨異形成症
前のページへ
次のページへ