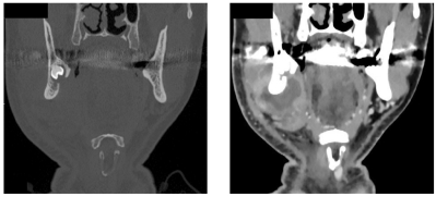
71歳の男性。顔面部の腫脹を主訴として来院した。右側顎下部に有痛性の腫脹を認める。初診時のエックス線写真、骨表示CT及び造影CTを示す。
顎下隙に認められるのはどれか。1つ選べ。
a. 膿瘍
b. 脂肪腫
c. 類皮囊胞
d. 含歯性囊胞
e. 転移リンパ節
前のページへ
次のページへ