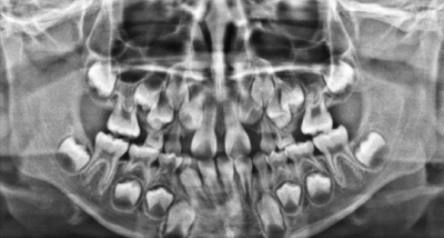
7歳の男児。抜歯の経験はないが、最近4本の乳歯が自然脱落したという。オーバージェットは +2mm、オーバーバイトは +1mm である。初診時のエックス線画像を別に示す。
永久歯の萌出に異常がみられる部位はどれか。2つ選べ。
a. 上顎前歯部
b. 下顎右側臼歯部
c. 下顎左側臼歯部
d. 上顎右側臼歯部
e. 上顎左側臼歯部
前のページへ
次のページへ