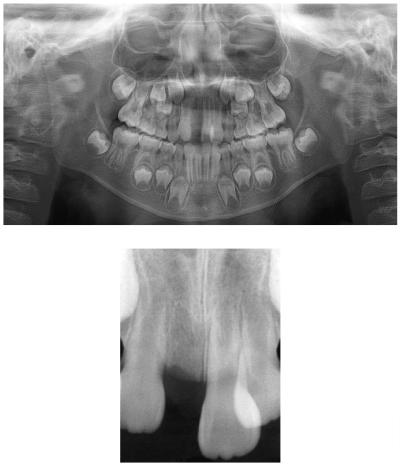
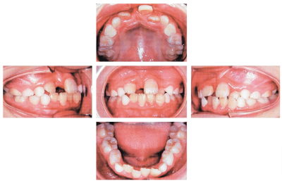
9歳の男児。審美不良を主訴として来院した。2か月前に外傷によって上顎右側中切歯が脱落し、傷は治ったが、そのままにした場合にどうなるか心配しているという。初診時の口腔内写真とエックス線画像を別に示す。
保護者への説明で適切なのはどれか。1つ選べ。
a. 「奥歯で嚙めなくなります」
b. 「右下の前歯が沈んでいきます」
c. 「左上の前歯が前に傾いてきます」
d. 「左上の前歯の根が曲がってしまいます」
e. 「隙間に向かって両側の前歯が倒れてきます」
前のページへ
次のページへ