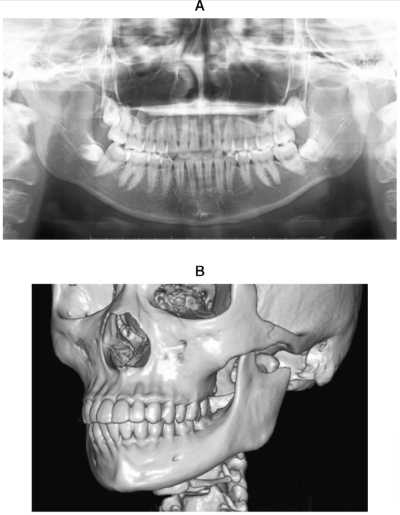
22歳の女性。開口障害を主訴として来院した。交通事故に遭遇して顔面を強打したという。観血的に治療を行うこととした。初診時のエックス線画像と3D-CT、下顎骨下縁を矢印で示した術中写真及び術後の頭部後前方向エックス線写真を別に示す。
術後に起こりやすい合併症はどれか。1つ選べ。
クリックで拡大します。
a. 舌の感覚異常
b. 下唇の下制障害
c. 下唇の感覚異常
d. 眼裂の閉鎖障害
e. 上唇の挙上障害
前のページへ
次のページへ