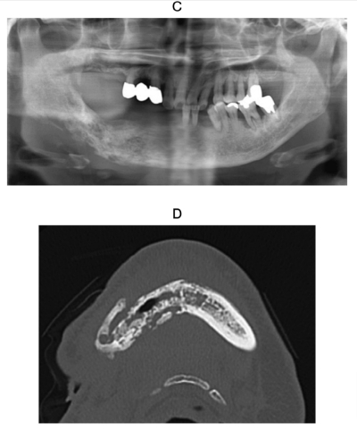
67 歳の女性。下顎右側の疼痛と排膿を主訴として来院した。6か月前に下顎右側第二大臼歯の抜去を受け、その後同部の骨が露出し、右側顎下部から排膿するようになったという。既往歴として乳癌があり、現在も治療中である。
初診時の口腔外写真、口腔内写真、エックス線画像及びCTを別に示す。
この疾患の発症に関連すると考えられるのはどれか。2つ選べ。
a. オピオイド
b. カルシウム拮抗薬
c. 抗RANKL 抗体製剤
d. ビスホスホネート製剤
e. 副甲状腺ホルモン製剤
前のページへ
次のページへ