MENU
home
菌娘らぼ
医学語呂なう
過去問チャート
ホルモンズ
医療電卓
blog
about
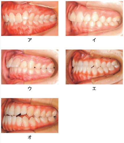
第111回 C問題 51問目 - 111C051
111C
咬頭嵌合位の口腔内写真を別に示す。Angle Ⅱ級2類不正咬合はどれか。1つ選べ。
a. ア
b. イ
c. ウ
d. エ
e. オ
解答を見る
a. ア
前のページへ
次のページへ