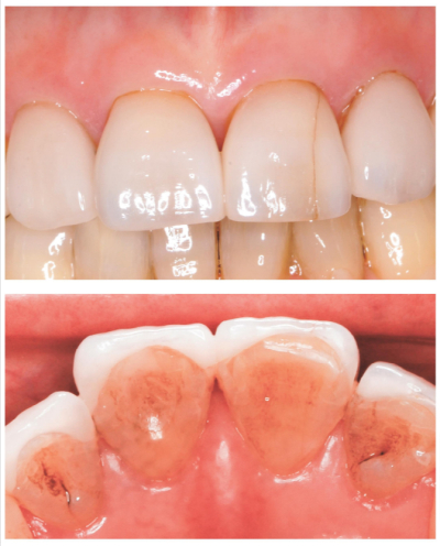
30歳の女性。上顎左側中切歯の審美不良を主訴として来院した。10年前に同部の処置を受けたという。検査の結果、補修修復を行うこととした。初診時の口腔内写真を別に示す。
次に示す5つのステップのうち、3番目に行うのはどれか。1つ選べ。
a. 窩洞形成
b. 形態修正
c. ボンディング材塗布
d. コンポジットレジン塡塞
e. シランカップリング処理
前のページへ
次のページへ