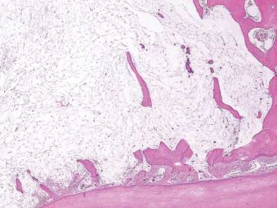
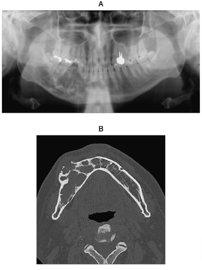
42歳の男性。下顎右側大臼歯の動揺を主訴として来院した。3年前から同部の歯肉の腫脹に気付き、徐々に歯が動揺するようになったという。初診時のエックス線画像、CT及び生検時の H-E 染色病理組織像を別に示す。
適切な治療法はどれか。1つ選べ。
a. 開窓
b. 摘出・搔爬
c. 下顎辺縁切除
d. 下顎区域切除
e. 放射線治療
前のページへ
次のページへ