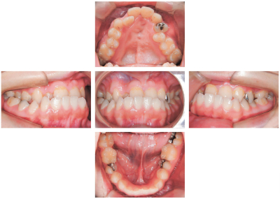
17 歳の女子。前歯部の反対咬合を主訴として来院した。これまで口唇口蓋裂の治療を受けている。診断の結果、外科的矯正治療を行うこととし、治療計画を立案した。初診時の顔面写真、口腔内写真、エックス線画像及び側面頭部エックス線規格写真を別に示す。セファロ分析の結果を図に示す。
動的治療終了後に使用するのはどれか。2つ選べ。
a. 咬合斜面板
b. 舌側弧線装置
c. アクチバトール
d. トゥースポジショナー
e. Begg タイプリテーナー
前のページへ
次のページへ