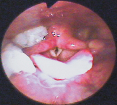
79 歳の男性。食事摂取の困難を主訴として来院した。水でむせやすくなり、食事時間が長くなってきたという。嚥下反射の惹起は良好である。米飯摂取後の嚥下内視鏡検査の画像を別に示す。
この状態を改善させるのはどれか。1つ選べ。
a. 頸部回旋
b. 頸部伸展
c. 息こらえ嚥下
d. 嚥下の意識化
e. 体幹角度調整
前のページへ
次のページへ