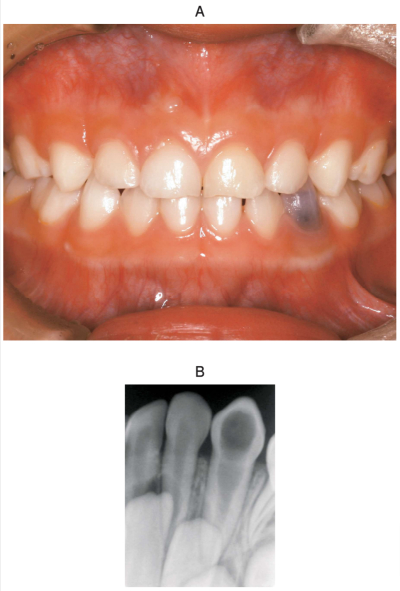
5歳の男児。下顎左側乳犬歯の変色を主訴として来院した。6か月前に気付いたが、そのままにしていたという。初診時の口腔内写真とエックス線画像を別に示す。
原因として考えられるのはどれか。1つ選べ。
a. 歯内歯
b. 歯髄充血
c. 内部吸収
d. 外来性色素沈着
e. 象牙質形成不全症
前のページへ
次のページへ