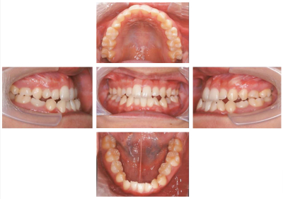
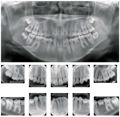
16 歳の女子。下顎の突出感と上顎右側乳犬歯の晩期残存を主訴として来院した。他に特記すべき既往はない。初診時の口腔内写真とエックス線画像を別に示す。先天欠如歯はどれか。1つ選べ。
前のページへ
次のページへ