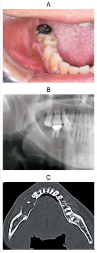
66 歳の男性。下顎右側臼歯部の腫脹を主訴として来院した。6か月前に顎骨の膨隆に気付いたが、疼痛がないためそのままにしていたという。
自発痛や下唇の感覚異常は認めない。下顎右側臼歯部に骨の膨隆を触知した。生検を行ったところ内部に軟組織の充満を認めた。初診時の口腔内写真、エックス線画像、CT及び生検時の H-E 染色病理組織像を別に示す。
適切な治療法はどれか。1つ選べ。
a. 開 窓
b. 摘出・骨削除
c. 下顎区域切除
d. 下顎半側切除
e. 放射線治療
前のページへ
次のページへ