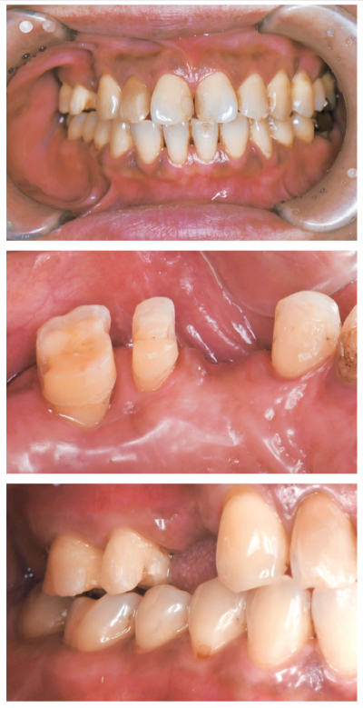
45 歳の女性。右側の咀嚼困難を主訴として来院した。1年前に上顎右側第一小臼歯と第二大臼歯を齲蝕のため抜去したという。検査の結果、⑥⑤4③⏌のブリッジを製作することとした。支台歯形成後の口腔内写真を別に示す。
咬合採得について適切なのはどれか。3つ選べ。
a. 咬合床を利用する。
b. 強く嚙みしめさせる。
c. ゴシックアーチを利用する。
d. 支台歯形成前の咬合状態を記録しておく。
e. プロビジョナルレストレーションの咬合支持を利用する。
45 歳の女性。右側の咀嚼困難を主訴として来院した。1年前に上顎右側第一小臼歯と第二大臼歯を齲蝕のため抜去したという。検査の結果、⑥⑤4③⏌のブリッジを製作することとした。支台歯形成後の口腔内写真を別に示す。
咬合採得について適切なのはどれか。3つ選べ。
a. 咬合床を利用する。
b. 強く嚙みしめさせる。
c. ゴシックアーチを利用する。
d. 支台歯形成前の咬合状態を記録しておく。
e. プロビジョナルレストレーションの咬合支持を利用する。