MENU
home
菌娘らぼ
医学語呂なう
過去問チャート
ホルモンズ
医療電卓
blog
about
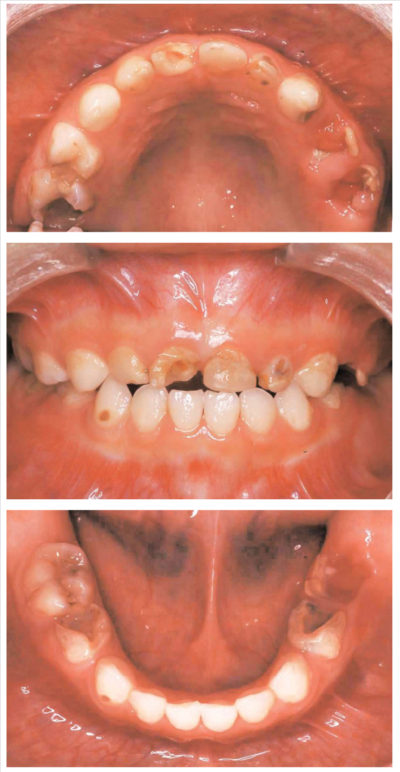
第112回 D問題 56問目 - 112D056
112D
3歳児の口腔内写真を別に示す。
3歳児歯科健康診査の齲蝕罹患型で該当するのはどれか。1つ選べ。
a. O 型
b. A 型
c. B 型
d. C1 型
e. C2 型
解答を見る
e. C2 型
前のページへ
次のページへ