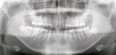
15 歳の男子。口を開けづらいことを主訴として来院した。5年前に気付き、徐々に開きにくくなったという。顎関節部に雑音や痛は認められない。最大開口量は 20 mm であった。初診時のエックス線画像とCT 横断像、矢状断像および 3D-CT 像を別に示す。
診断名はどれか。1つ選べ。
a. 顎関節症
b. 骨軟骨腫
c. 軟骨肉腫
d. 顎関節強直症
e. 筋突起過長症
前のページへ
次のページへ