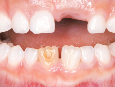
6歳の男児。歯の変色を主訴として来院した。全身状態に問題はない。初診時の口腔内写真を別に示す。
原因として考えられるのはどれか。2つ選べ。
a. 咬爪癖
b. 幼児期の外傷
c. 抗菌薬の長期服用
d. 先行乳歯の重度の齲蝕
e. 妊娠期の母体の栄養不良
前のページへ
次のページへ