MENU
home
菌娘らぼ
医学語呂なう
過去問チャート
ホルモンズ
医療電卓
blog
about
第105回 午前問題 68問目 - 105AM068
105午前
画像問題
脳・神経疾患
頭部CT検査
急性硬膜外血腫
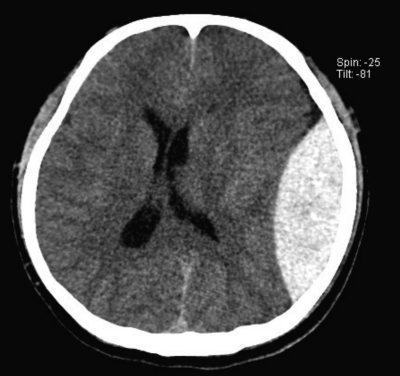
頭部CTを別に示す。出血部位について正しいのはどれか。
1. 皮下組織
2. 硬膜外腔
3. くも膜下腔
4. 脳実質内
5. 脳室内
解答を見る
2. 硬膜外腔
凸レンズ型の血腫→硬膜外血腫、三日月の血腫→硬膜下血腫
急性硬膜外血腫 - 画像診断まとめ
前のページへ
次のページへ