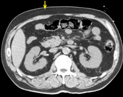
腹部CTを別に示す。矢印で示す部位について正しいのはどれか。
1. 肥満細胞で構成される。
2. 厚さはBMIの算出に用いられる。
3. 厚い場合は洋梨型の体型の肥満が特徴的である。
4. 厚い場合はメタボリックシンドロームと診断される。
皮下脂肪だよ。
a 脂肪細胞で構成される。肥満細胞(マスト細胞)は免疫に関与する細胞。紛らわしい名。
b BMIは体重と身長から算出。
c 正解(*´ω`*) - 皮下脂肪型肥満は洋梨、内臓脂肪型はりんごと呼ばれる。
d メタボは内臓脂肪が多い場合です。
前のページへ
次のページへ