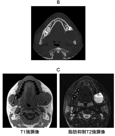
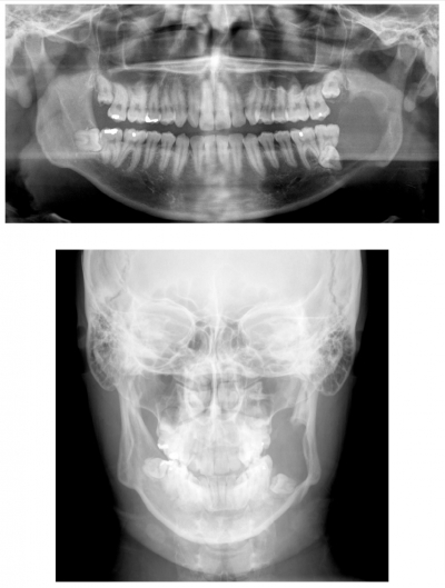
24歳の男性。下顎左側大臼歯部の腫脹を主訴として来院した。同部に境界明瞭な無痛性の腫脹を認める。初診時のエックス線写真、CT及び MRI T1強調像と脂肪抑制T2強調像を別に示す。

最も疑われるのはどれか。1つ選べ。

a. 骨肉腫

b. 軟骨腫

c. 含歯性囊胞

d. エナメル上皮腫

e. 線維性異形成症
解答を見る