38歳の男性。1週間前から皮下出血が出現したため自宅近くの診療所を受診したところ、白血球減少と血小板減少を指摘され精査のため紹介受診した。
体温36.6℃。脈拍92/分、整。血圧118/76mmHg。眼瞼結膜は貧血様で眼球結膜に黄染を認めない。心音と呼吸音に異常を認めない。腹部は平坦、軟で、肝・脾を触知しない。両下肢に紫斑を認める。
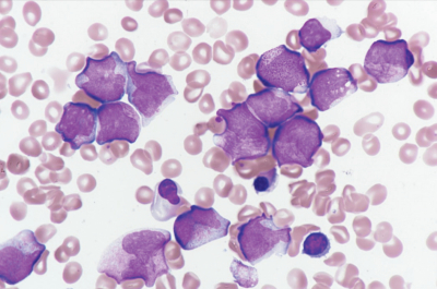
血液所見:赤血球381万、Hb 12.6g/dL、Ht 36%、白血球2,400(芽球9%、前骨髄球60%、分葉核好中球12%、リンパ球19%)、血小板1.6万。血液生化学所見:総蛋白7.7g/dL、アルブミン4.8g/dL、総ビリルビン1.1mg/dL、直接ビリルビン0.1mg/dL、AST 29U/L、ALT 30U/L、LD 365U/L(基準120~245)、ALP 110U/L(基準38~113)、尿素窒素18mg/dL、クレアチニン1.1mg/dL、尿酸9.3mg/dL、Na 143mEq/L、K 3.9mEq/L、Cl 107mEq/L、Ca 9.3mg/dL。CRP 0.3mg/dL。骨髄血塗抹May-Giemsa染色標本写真を別に示す。
この患者に投与すべき薬剤はどれか。
a. イマチニブ
b. ゲフィチニブ
c. シクロスポリン
d. ブレオマイシン
e. 全トランス型レチノイン酸
