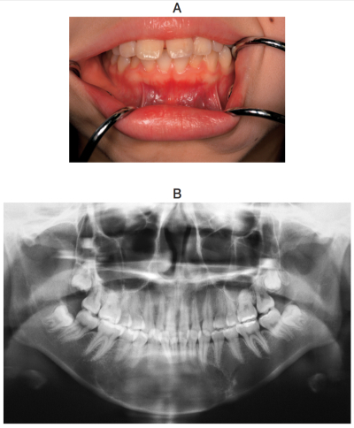
20歳の女性。下顎正中部の精査を希望して来院した。1週前に同部の無痛性のエックス線透過像を指摘されたという。5⏇5 には動揺はなく、歯髄電気診では生活反応があった。生検時には唇側の骨を含めて検体を採取した。初診時の口腔内写真、エックス線写真、CT、MRI T2強調像及び生検時のH-E染色病理組織像を別に示す。
診断名はどれか。1つ選べ。
a. 静止性骨空洞
b. 単純性骨囊胞
c. エナメル上皮腫
d. 角化囊胞性歯原性腫瘍
e. 石灰化囊胞性歯原性腫瘍
前のページへ
次のページへ