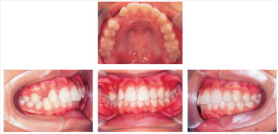
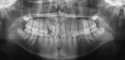
12歳の男児。上顎歯列の空隙を主訴として来院した。初診時の口腔内写真、エックス線写真及び矯正材料の写真を別に示す。上顎右側犬歯の歯冠近遠心幅径の予測値から、上顎のarchlength discrepancyは-2mmである。3⏌の開窓後、マルチブラケット装置を用いて非抜歯で治療を行うこととした。
3⏌の排列スペースの獲得のために用いる材料で適切なのはどれか。1つ選べ。
a. ア
b. イ
c. ウ
d. エ
e. オ
前のページへ
次のページへ