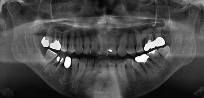
51歳の女性。口腔内の金属修復物に関する精査と加療のため、皮膚科からの紹介により来院した。皮膚科では手掌の疾患に対して副腎皮質ステロイド外用薬の投与を受けているという。初診時の手掌の写真とエックス線写真を別に示す。
まず行うべき対応はどれか。1つ選べ。
a. 咬合調整
b. 金属修復物の研磨
c. 金属修復物の除去
d. 金属修復物装着歯の抜去
e. 歯科用金属のパッチテスト
前のページへ
次のページへ