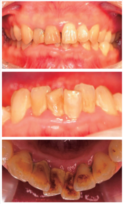
58歳の女性。下顎切歯部の歯肉出血を主訴として来院した。週前から自覚していたが、痛みがないためそのままにしていたという。初診時の口腔内写真とエックス線写真を別に示す。歯周組織検査結果の一部を表に示す。
診断名はどれか。1つ選べ。
a. 慢性歯周炎
b. 急性歯肉膿瘍
c. プラーク性歯肉炎
d. 壊死性潰瘍性歯肉炎
e. 遺伝性歯肉線維腫症
前のページへ
次のページへ