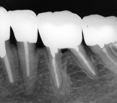
63歳の女性。口臭を主訴として来院した。1か月前から左側の下顎臼歯部に嫌な臭いを感じるようになったという。口腔清掃状態は良好で、下顎臼歯部に自発痛や咬合痛は認めない。歯周ポケットは2mm以下であるが、下顎左側第一大臼歯の分岐部はポケット探針が貫通する。再修復を行うこととした。初診時、前処置後のポストコア合着時および補綴装置装着後の口腔内写真と、初診時のエックス線写真を別に示す。

補綴前処置の目的はどれか。1つ選べ。

a. 動揺歯の固定

b. 清掃性の向上

c. 保持力の増強

d. 咬合支持の増加

e. 帯環効果の確保

解答を見る