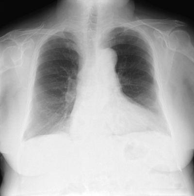
82歳の女性。買い物に行くと動悸と息切れがあり、NYHA分類はⅡ度の慢性心不全と診断されている。かかりつけ内科のある病院歯科を受診したところ埋伏智歯周囲に囊胞形成があり、手術を検討することとなった。同病院で撮影された胸部エックス線写真を術前評価の資料とした。胸部エックス線写真を別に示す。
特徴的な所見はどれか。1つ選べ。
a. 胸郭の変形
b. 心陰影の拡大
c. 肺血管陰影の増強
d. 肺野透過性の亢進
e. 肺野のすりガラス様陰影
前のページへ
次のページへ