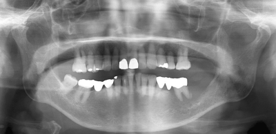
78歳の女性。抜歯後の治癒不全を主訴として来院した。左側の下顎臼歯部歯肉に硬結を伴う潰瘍を認め、左側顎下部に無痛性の腫脹を認める。初診時のエックス線写真、造影CT横断像と冠状断像及び下顎歯肉部の生検時のH-E染色病理組織像を別に示す。
矢印で示すのはどれか。1つ選べ。
a. 膿瘍
b. 鰓囊胞
c. 多形腺腫
d. 転移リンパ節
e. ガマ腫(ラヌーラ)
前のページへ
次のページへ