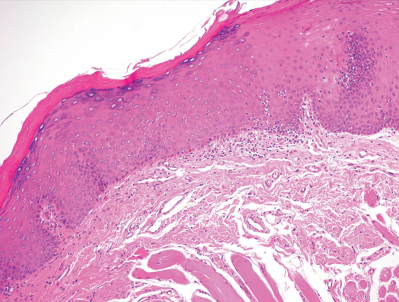
72歳の男性。歯科医院で右側舌縁部の白斑を指摘され、紹介により来院した。2年前に気付いたが疼痛はなく、性状も大きさも変化はないという。初診時の口腔内写真と生検時のH-E染色病理組織像を別に示す。
考えられる対応はどれか。2つ選べ。
a. 定期的診察
b. 副腎皮質ステロイド軟膏塗布
c. 放射線照射
d. 抗癌剤投与
e. 外科的切除
前のページへ
次のページへ