MENU
home
菌娘らぼ
医学語呂なう
過去問チャート
ホルモンズ
医療電卓
blog
about
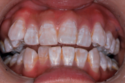
第109回 C問題 52問目 - 109C052
109C
歯の変色
27歳の女性。歯の変色を主訴として来院した。初診時の口腔内写真を別に示す。最も疑われる原因はどれか。1つ選べ。
a. 加齢
b. 喫煙
c. 先天性梅毒
d. 習慣性嘔吐
e. フッ化物の長期過剰摂取
解答を見る
e. フッ化物の長期過剰摂取
前のページへ
次のページへ