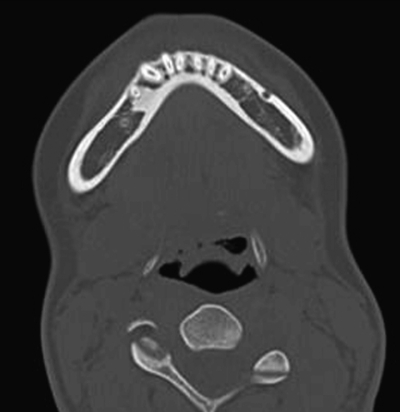
15歳の男子。かかりつけ歯科医のエックス線検査で右側の下顎小臼歯部に異常を指摘され、精査を希望して来院した。自覚症状はないという。初診時のエックス線写真とCTを別に示す。
疑われるのはどれか。1つ選べ。
a. 内骨症
b. 骨形成線維腫
c. 骨性異形成症
d. 線維性異形成症
e. 石灰化囊胞性歯原性腫瘍
前のページへ
次のページへ