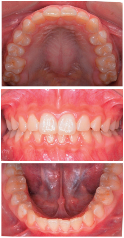
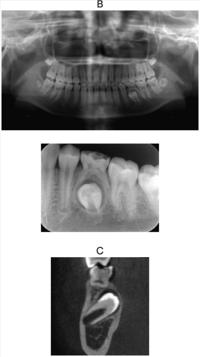
14歳の男子。下顎左側第二乳臼歯が交換しないため精査を希望して来院した。3年前から気付いていたがそのままにしていたという。初診時の口腔内写真、エックス線写真及び歯科用コーンビームCTを別に示す。
⎾Eに対する適切な対応はどれか。1つ選べ。
a. 経過観察
b. 咬合調整
c. 形態修正
d. 抜髄
e. 抜歯
前のページへ
次のページへ