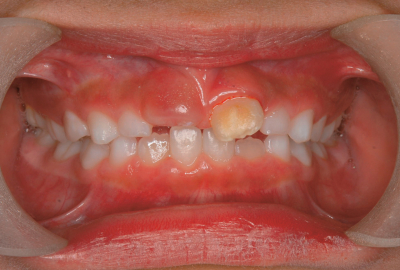
7歳の女児。上顎左側中切歯の色調異常を主訴として来院した。初診時の口腔内写真を別に示す。
考えられる原因はどれか。1つ選べ。
a. 萌出囊胞
b. 抗菌薬の長期服用
c. 先行乳歯の根尖病変
d. フッ化物の過剰摂取
e. エナメル質形成不全症
前のページへ
次のページへ