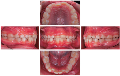
8歳の女児。下顎右側中切歯の咬合時の違和感を主訴として来院した。数日前から食事中に気になるようになったという。1⏋に軽度の動揺が認められる。初診時の口腔内写真とエックス線写真を別に示す。
原因として考えられるのはどれか。1つ選べ。
a. 外傷性咬合
b. 母指吸引癖
c. 根尖性歯周炎
d. 歯ブラシの誤用
e. 小帯の付着異常
前のページへ
次のページへ