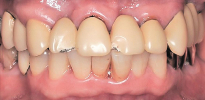
78歳の男性。前歯部補綴装置の審美不良を主訴として来院した。15年前に前歯部ブリッジを装着したが、数週前に破折に気付いたという。頻回の来院は困難のため、再製作を行わず補修することとした。初診時の口腔内写真を別に示す。
破折部に行う処理はどれか。2つ選べ。
a. スズ電析
b. グレージング
c. フッ化水素酸処理
d. シランカップリング処理
e. 金属接着性プライマー処理
前のページへ
次のページへ