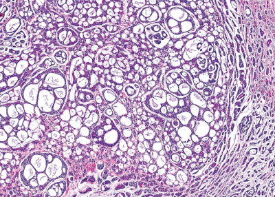
75歳の女性。左側口底の腫瘤を主訴として来院した。5か月前に気付いたが、疼痛がないためそのままにしていたという。初診時の口腔内写真、CT、MRI T2 強調像及び生検時の H-E 染色病理組織像を別に示す。
適切な治療法はどれか。1つ選べ。
a. 開窓
b. 腫瘤切除
c. 切開排膿
d. 顎下腺摘出
e. 抗癌剤投与
前のページへ
次のページへ