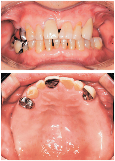
72歳の男性。義歯の動揺に伴う咀嚼困難を主訴として来院した。7年前に上顎部分床義歯を製作したが、咀嚼時の義歯の変位が著しくなってきたという。検査の結果、残存歯には問題がなかったため新義歯を製作することとした。初診時の口腔内写真を別に示す。
義歯の設計時に考慮すべきなのはどれか。3つ選べ。
a. 維持作用の強化
b. 緩圧機構の設定
c. 粘膜支持の活用
d. 把持作用の強化
e. 歯軸方向への機能力伝達
前のページへ
次のページへ