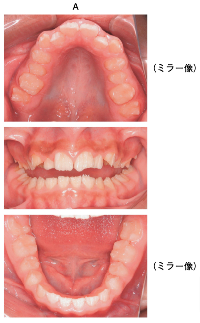
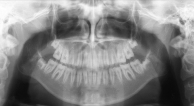
15 歳の女子。飲水時の上顎臼歯部における疼痛を主訴として来院した。歯の表面性状は萌出してから変化はないという。皮膚に異常は認められない。初診時の口腔内写真とエックス線画像を別に示す。
診断名はどれか。1つ選べ。
a. 骨形成不全症
b. 歯のフッ素症
c. 先天性表皮水疱症
d. エナメル質形成不全症
e. 先天性外胚葉異形成症
前のページへ
次のページへ