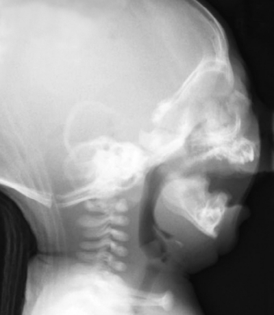
生後1か月の乳児。哺乳障害がみられたため、小児科からの紹介で来院した。出生直後から仰臥位で吸気時の喘鳴とチアノーゼがみられるという。初診時の側貌写真、口腔内写真及び頭部側方向エックス線写真を別に示す。
考えられる疾患はどれか。1つ選べ。
a. Down 症候群
b. Apert 症候群
c. Crouzon 症候群
d. Robin シークエンス
e. Beckwith-Wiedemann 症候群
前のページへ
次のページへ